Table of Contents
- There Are Certain Symptoms To Look Out For
- Risks Of Gingivitis
- Poor Oral Hygiene Is A Large Cause
- How To Prevent & Treat Gingivitis
- Do You Need Oral Health Services?

Have you ever noticed your gums looking red? Or have you suddenly begun to have irritation along your gum line? If you have experienced either of these issues, you may be developing gingivitis. Gingivitis (often referred to as gum disease) is a common dental disease affecting many people in the United States and worldwide. It is a disease of the gums and is a mild form of periodontitis. Gingivitis is dangerous because if it progresses it can cause serious gum and mouth issues. Continue reading to learn more about this condition and how you can prevent, recognize, and treat it.
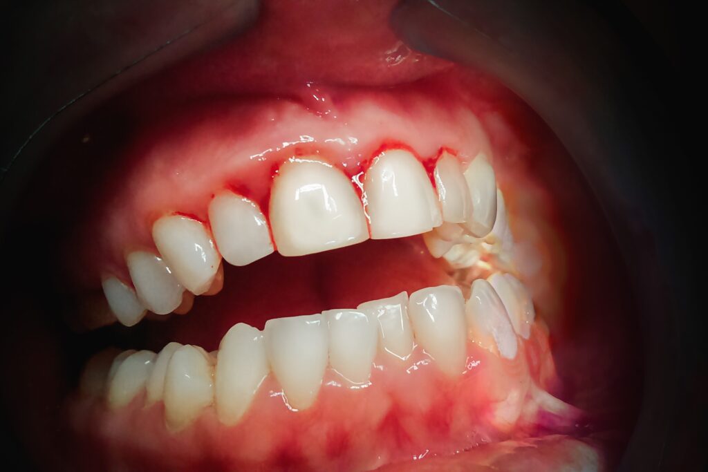
There Are Certain Symptoms To Look Out For
Because it is important for individuals to take this condition seriously, it is vital to understand what symptoms you need to look out for. Some of the most common symptoms of gingivitis include:
- Irritation
- Receding gum lines
- Redness
- Swelling
- Bleeding
- Tenderness
- Bad Breath

If you notice any of these symptoms, then you should reach out to your dentist as soon as possible. With proper treatment, your gums can be healed and return to normal. However, if these symptoms are allowed to continue without treatment, your gingivitis could develop into periodontitis or another harmful disease. Talk with your dentist if you notice any of these issues.
Risks Of Gingivitis
As previously mentioned, there are several issues that may arise with the development of gingivitis. The first and most serious problem that this condition may result in is periodontitis. Periodontitis is a severe form of gum disease that can cause infections and pockets to appear in your gum line. These pocket may eventually cause your jaw bone to decay and your teeth to fall out. Other problems that can be accompanied by gingivitis include diabetes, heart disease, kidney disease, asthma, and cancer.
Poor Oral Hygiene Is A Large Cause

Poor oral hygiene is a common cause of many different tooth and mouth issues including gingivitis. Dentists recommend brushing your teeth twice a day or after each meal, flossing once a day (preferably in the evening after a day of eating), and using mouthwash once a day. Individuals that skip brushing their teeth or flossing are dramatically more likely to develop gum disease. There are also less common causes of gingivitis including taking certain medications, a Vitamin C deficiency, an impacted tooth, or hormonal changes.
How To Prevent & Treat Gingivitis
Because the most common cause of gum disease is poor oral health care, the best way to prevent it is to have proper dental hygiene practices. Make sure that you are brushing your teeth, flossing, using mouthwash, and keeping up with your dental appointments. Treatment for most cases of gingivitis is almost as simple. After seeing your dentist, you will likely be able to treat your case at home by simply improving your oral health care routine. However, in some more severe cases, your dentist may recommend an antibiotic, gum scaling (forcible removal of the hardened plaque by a dental professional), removal of a tooth, or gum surgery.

Do You Need Oral Health Services?
If you suspect that you may have gingivitis, it is important that you see a dentist as soon as possible. As previously mentioned, gingivitis can lead to a wide range of complications. If you do not get this taken care of, you could end up in a much worse position. Luckily we at Mills River Family Dental provide comprehensive oral health care services meaning that we can help diagnose and treat gingivitis. If you are in need of dental services or are in a dental emergency, please reach out to us at Mills River Family Dental today.




